কী কী রোগ হয় জিহ্বায়?

Writer : Dr. Tania Hafiz
2003-2004
Z.H Sikder Women’s Medical College and Hospital

সৃস্টিকর্তা আমাদের শরীরের প্রত্যেকটি অঙ্গপ্রতঙ্গকে সৃষ্টি করেছেন কোনো না কোনো কাজের জন্য। ভেবে দেখুন সবকিছুর প্রয়োজন আছে আমাদের প্রতিনিয়ত। শরীরের কোনো অংশ ছাড়া আমরা চলতে পারিনা।

তেমনই শরীরের একটা প্রয়োজনীয় অংশ হলো “জিহ্বা” (Tongue).👅

জিহ্বা ছাড়া আমাদের কী চলে🤔?
কখনওই না।

  • এই জিহ্বা আমাদের জন্য কী কী কাজ করছে?
  • এর আবার কী কী রং হয় (যা দেখে আমরা রোগ নির্নয় করি)
  • কী কী রোগ হয় এই জিহ্বায়?

আজ যখন জানবেন যে এক জিহবাতেই এতো রোগ তখন বুঝবেন মানুষের শরীরে কত যে রোগ হতে পারে।

মাঝে একদিন হঠাৎ জিহ্বায় কামড় লাগলো নিজের দাতেই 😥। উফফ। তারপর হলো Injury। ঝাল খেলেই জ্বালাপোড়া। কি যে এক যন্তনা।
আর জীবনে যে কতোবার চা খেতে জিহ্বায় গরম ছ্যাকা লেগেছে তা বলে শেষ করতে পারবোনা। মেজাজ তখন কি যে খারাপ লাগে কারন এরপর আমি খাবারের স্বাদ পাই না গরম ছ্যাকার ফলে।

একটা ভ্রান্ত ধারণা আছে বাঙ্গালিদের “নিজের দাতে জিহ্বায় কামড় লাগলে নাকি কেউ মনে করছে এটা মনে করা হয়।” এটা যে ভুল আমরা সবাই সেইটা জানি।

যাইহোক জিহ্বা নিয়ে বলতে গেলে অনেককিছুই বলা যায়। আজ এতোটুকুই বললাম আর বাকিটা নিচে ⬇

Definition :
The fleshy muscular organ in the mouth of a mammal.

Part :
The human tongue is divided into 2 Parts :

  • Oral part: at the Front
  • Pharyngeal part: at the Back

Function :

  1. Chewing and swallowing food
  2. For speech
  3. Taste buds present here, so we get different types of taste from here.

Some disease’s examination :

  1. Anaemia
  2. Jaundice
  3. Cyanosis
  4. Taste sensation examination

Tongue Colour changes in some diseases :

👅White tongue=>
Thick or heavy white coating on the surface of tongue: Leukoplakia
Oral thrush also.

👅 Red tongue with a mapped appearance=>
Geographic tongue.

👅 Red tongue only=>
Glossitis that means inflammation of tongue.
Or any injury/trauma.

👅 Red tip of the tongue=>
Can signify mental or emotional stress

👅 Black and hairy tongue=>
Happened when bacteria build up, also regular smoker. (Hairy tongue also known as trichoglossia)

👅 Yellow tongue=>
Liver or stomach problem. Also found in poor oral hygiene.

👅 Brown tongue=>
Heavy coffee drinking, smoking. Also in lung problems.

👅 Pale tongue=>
Vitamin, iron deficiency.

👅 Gray tongue=>
Indicate long term digestive and intestinal problems.

👅 Purple tongue=>
Indicates blood stasis which may be sign of heart complications.

👅 Blue tongue=>
Cyanosis mainly. Kidney disease, blood disorder, respiratory insufficiency.

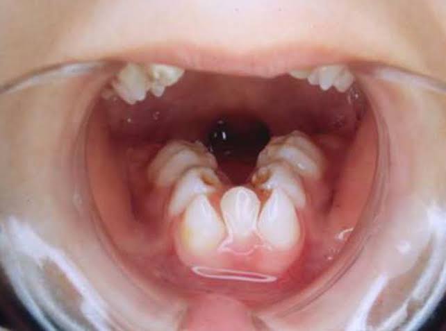
           Tongue Diseases
  • A. Congenital
  • B. Acquired
    Congenital Tongue disorders

🔵 Aglossia :
Complete absence of the tongue at birth.

🔵 Ankyloglossia :
Where the lingual frenum tethers the tongue to the floor of the mouth.

🔵 Hypo/microglossia :
Congenitally short tongue.

🔵 Macroglossia :
An abnormally large tongue.

🔵 Choristoma :
A nodule on the dorsum of the tongue containing mature lamellar bone without osteoblastic activity.

🔵 Cleft tongue or Bifid tongue :
Very rare condition. Also known as fissured tongue.

🔵 Glossoptosis

🔵 Hamartomata

     Acquired tongue diseases
  1. Vascular
  2. Infective, inflammatory
  3. Traumatic
  4. Autoimmune
  5. Neurological
  6. Neoplastic
  7. Degenerative
  8. Environmental
  9. Unknown causes
  10. Others


🔴 Vascular

Caviar tongue=>
The veins underneath the tongue can become dilated and prominent, giving the undersurface of the tongue a caviar like appearance.

🔴 Infective, inflammatory

Glossitis=>
Inflammation of tongue.
Median Rhomboid glossitis, straberry tongue, syphilitic glossitis.

Oral hairy leukoplakia=>
Seen in people with immunosuppression, caused by Epstein-Barr virus.

Oral Candidiasis=>
By fungal infection. Oral lichen planus

🔴Traumatic :

★ By teeth
★ Dental operation or tooth extraction.
★ Apthous ulcer
★ Unconsciously
★ Thermal injury
★ Chemical

🔴 Autoimmune :

Sjogren’s syndrome can cause xerostomia, with glossitis.


🔴 Neurological :

  1. Hypoglossal nerve weakness can cause atrophy and fasciculation of the tongue.
  2. Melkersson-Rosenthal syndrome
    Neurological disorder characterized by fissure tongue, facial palsy and orofacial swelling.

🔴 Neoplastic :

Oral cancer, most commonly Squamous cell carcinoma.
Precancerous condition: Oral Leukoplakia

🔴 Degenerative :

Motor neuron disease(Lou Gehrig’s disease) can cause impaired control of tongue movement,affecting speech and swallowing.

🔴 Environmental :

Poor diet, malnutrition, iron-B complex and folic acid deficiency are common cause of atrophic glossitis.

Black hairy tongue=poor oral hygiene, smoking, drugs use.

🔴 Unknown cause :

  1. Geographic tongue
  2. Leukoplakia
  3. Burning tongue syndrome/Glosdodynia
  4. Fissured tongue/furrowed tongue/scrotal tongue

🔴 Others :

  1. Chronic herpes in patient receiving cancer chemotherapy
  2. Bechet’s disease
  3. Eruptive lingual papillitis

সব disease র ছবি দিতে পারলাম না, দুঃখিত।
আমার স্বল্প জ্ঞানে যতোটা ছিলো তা শেয়ার করলাম আরো হয়তো অনেক Information আছে।

ডেন্টিসদের একটা Advice থাকে দাত ব্রাশ বিষয়ক সেখানে তারা Tongue cleaning by tongue cleaner এটা বলেন।

Edited By : Nahid Hasan.